成人二次补牙视频,跟随视频学习补牙技巧
你知道吗?补牙这个看似简单的小手术,其实里面学问可大了。尤其是对于那些已经经历过一次补牙,但又因为各种原因需要再次进行补牙的成年人来说,了解一些补牙的细节,简直就是如获至宝!今天,就让我带你一起走进成人二次补牙的世界,看看那些你可能不知道的精彩瞬间吧!
一、补牙前的准备,你准备好了吗?

在正式进行二次补牙之前,你肯定要做好充分的准备。首先,你得预约好时间,选择一家口碑好的牙科诊所。别小看这一步,好的诊所和经验丰富的医生,能让你在补牙过程中少受很多罪。
其次,补牙前要确保口腔卫生。记得刷牙、漱口,保持口腔清洁。这样不仅有助于医生更好地观察牙齿状况,还能减少手术过程中的感染风险。
别忘记带上身份证、医保卡等证件。这些资料在补牙过程中可能会用到,提前准备好,省得到时候手忙脚乱。
二、成人二次补牙,这些细节要知道

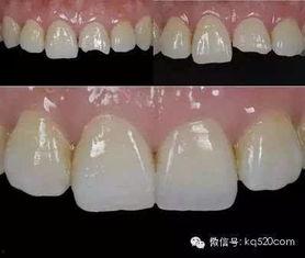
1. 了解补牙材料

现在的补牙材料种类繁多,有树脂、陶瓷、金属等。成人二次补牙时,可以根据自己的需求和医生的建议选择合适的材料。比如,树脂材料颜色自然,适合前牙修复;陶瓷材料硬度高,适合后牙修复。
2. 了解补牙过程
成人二次补牙的过程大致分为以下几个步骤:
(1)局部麻醉:医生会在你的牙齿周围注射麻药,让你在手术过程中不会感到疼痛。
(2)去除腐质:医生会使用专门的工具将牙齿上的腐质去除。
(3)填充材料:根据你的牙齿状况,医生会选择合适的材料进行填充。
(4)固化材料:填充材料固化后,医生会进行打磨、抛光,确保牙齿恢复原状。
3. 术后注意事项
(1)术后24小时内,避免用手术侧咀嚼食物。
(2)保持口腔卫生,按时刷牙、漱口。
(3)避免食用过硬、过热、过冷的食物,以免刺激牙齿。
(4)定期复查,观察牙齿恢复情况。
三、二次补牙,这些误区要避免
1. 误区一:补牙后牙齿会变脆
事实上,补牙后的牙齿并不会变脆。只要在日常生活中注意保护,牙齿可以和正常牙齿一样耐用。
2. 误区二:补牙后不需要复查
补牙后,定期复查是非常必要的。这有助于医生及时发现并处理可能出现的问题,确保牙齿健康。
3. 误区三:补牙后可以立即刷牙
补牙后,建议等待24小时后再刷牙。这样可以确保填充材料充分固化,避免影响手术效果。
通过以上内容,相信你对成人二次补牙有了更深入的了解。在补牙过程中,一定要选择正规的牙科诊所,遵循医生的建议,做好术前、术后准备。只有这样,才能让你的牙齿重获新生,绽放自信笑容!
